News

Ihre Auswahl

forschen / 17.03.2026
Körperfett fördert Entzündungen im Darm

© Anja Kühl, Charité
© Anja Kühl, Charité

Fettgewebe rund um den Darm verstärkt die Entzündungen bei Morbus Crohn. Das berichten Forschende des Max Delbrück Center und der Charité – Universitätsmedizin Berlin im ​„Journal of Clinical Investigation“. Außerdem erklären sie, wie Mutationen in Immunzellen zu der Krankheit beitragen können.

Morbus Crohn ist eine chronisch-entzündliche Erkrankung des Darms, von der weltweit Millionen von Menschen betroffen sind. Ein auffälliges Merkmal der Krankheit ist das ​„schleichende Fett“: Fettgewebe, das sich um entzündete Darmabschnitte legt. Forschende vermuten seit langem, dass dieses Gewebe den Krankheitsverlauf beeinflussen kann. Die zugrunde liegenden Mechanismen sind bislang aber unklar.

Wissenschaftler*innen der Charité – Universitätsmedizin Berlin und des Berliner Instituts für Medizinische Systembiologie am Max Delbrück Center (MDC-BIMSB) berichten jetzt gemeinsam mit weiteren Kolleg*innen im ​„Journal of Clinical Investigation“, dass das Fettgewebe Signale aussendet, die letztendlich die Darmbarriere bei Morbus Crohn schädigen. Zudem zeigen sie, dass im Laufe des Lebens erworbene Mutationen im Erbgut von Immunzellen die Krankheit begünstigen können. 

„Es ist schon lange bekannt, dass ein Zusammenhang zwischen Adipositas und Morbus Crohn besteht“, sagt Professorin Ashley Sanders, die Leiterin der Arbeitsgruppe ​„Genominstabilität und somatischer Mosaizismus“ am MDC-BIMSB und eine der Letztautor*innen der Studie. ​„Es ist zwar durchaus bekannt, dass Fettgewebe molekulare Signale aussendet, die Entzündungen begünstigen. In unserer Studie beschreiben wir aber den Zusammenhang zwischen diesen aus dem Fettgewebe stammenden Signalen und Entzündungen im Darm wirklich im Detail.“

Mäuse ohne Fettgewebe

Die Forschenden führten zunächst Versuche an einem Mausmodell für generalisierte Lipodystrophie durch – einer sehr seltenen Erkrankung, bei der den Betroffenen unter anderem Fettgewebe fehlt. Setzte das Team die Mäuse einer chemischen Substanz aus, die normalerweise Darmentzündungen verursacht, stellten sie fest, dass die Mäuse mit Lipodystrophie widerstandsfähiger waren als ihre Artgenossen. Ihre Darmbarriere blieb stabil und sie wiesen geringere Mengen an entzündungsfördernden Immunzellen auf. Insbesondere die Zahl der Th1- und Th17-T-Zellen – das sind spezialisierte Immunzellen, die Abwehrreaktionen koordinieren – war reduziert.

Transplantierten die Wissenschaftler*innen den Lipodystrophie-Mäusen Fettgewebe, waren die Tiere anfälliger für die chemisch ausgelöste Darmentzündung. Allerdings war dieser Effekt nur dann zu beobachten, wenn das transplantierte Fett Leptin produzieren konnte. Das deutet darauf hin, dass Leptin zumindest bei Mäusen eine zentrale Rolle bei der Regulierung des Immunsystems spielt.

„Diese Ergebnisse haben wir zwar erwartet, da frühere Forschungen bereits gezeigt hatten, dass Fettgewebe ein aktives Immunorgan ist“, sagt die Charité-Professorin Britta Siegmund, die ebenfalls eine Letztautorin der Studie ist. ​„Sie unterstreichen aber, dass Signale aus dem Fettgewebe entzündliche Reaktionen im Darm erheblich verstärken können.“

Rätselhafte klinische Befunde

Allerdings schienen die Ergebnisse im Widerspruch zu den Befunden eines klinischen Falls an der Charité zu stehen: Dort gab es eine erkrankte Person mit erworbener generalisierter Lipodystrophie, die zudem an Morbus Crohn erkrankt war, obwohl sie überhaupt kein Fettgewebe besaß. ​„Das war merkwürdig und wir wollten verstehen, warum dieser Mensch die Krankheit entwickelt hatte“, sagt Siegmund.

Mithilfe der Einzelzellsequenzierung untersuchte die Arbeitsgruppe von Sanders Immunzellen aus dem Blut und dem Darmgewebe der betroffenen Person. Das Team stieß auf eine ungewöhnlich große Gruppe von Zellen, die eine Mutation in einem Gen namens NRAS aufwiesen. Das Gen trägt zur Regulierung des Zellwachstums und des Zellüberlebens bei.

Der Befund deutete darauf hin, dass sich diese Zellen aus einer einzigen Zelle in einem Prozess, der als klonale Expansion bezeichnet wird, vermehrt hatten. Solche mutierten Zellen entstehen spontan und werden nicht vererbt. Zellen mit einem veränderten NRAS-Gen leben länger und teilen sich häufiger, als sie sollten – was möglicherweise zu chronischen Entzündungen führt.

„Die Mutation hat wahrscheinlich dazu beigetragen, dass die entzündungsfördernden T‑Zellen längere Zeit überleben und sich vermehren konnten“, erklärt Sanders. Diese anhaltende Vermehrung könnte die beobachteten systemischen und intestinalen Entzündungen begünstigt haben. ​„Darüber hinaus zeigen unsere Ergebnisse, wie leistungsfähig Einzelzell-Genomtechnologien sein können, um verborgene genetische Veränderungen in einzelnen Immunzellen aufzudecken“, fügt die Forscherin hinzu.

Für eine personalisierte Therapie

Neben entzündungsfördernden Signalen produziert das Fettgewebe weitere Botenstoffe – zum Beispiel Adipokine, zu denen auch das Leptin gehört, das vor allem für seine regulierende Wirkung auf Appetit und Stoffwechsel bekannt ist. In der Studie erhielt die Person mit Lipodystrophie eine synthetische Form von Leptin, um einen ebenfalls vorhandenen Typ-2-Diabetes zu behandeln. Das Hormon verbesserte zwar die Stoffwechselgesundheit, verstärkte jedoch gleichzeitig die entzündungsfördernde Signalübertragung und erhöhte die Anzahl der Th17-Immunzellen.

„Diese Erkenntnis verdeutlicht, wie Adipokine wie Leptin und Mutationen in Immunzellen zusammenwirken und so chronische Entzündungskrankheiten beeinflussen“, sagt Professor Carl Weidinger von der Charité, ein weiterer Letztautor der Studie. Das Zusammenspiel von Stoffwechsel- und genetischen Faktoren könne möglicherweise erklären, warum sich Morbus Crohn bei verschiedenen Menschen unterschiedlich äußere, fügt Weidinger hinzu. ​„Wenn wir diese Wechselwirkungen verstehen, können wir hoffentlich präzisere, personalisierte Behandlungsansätze entwickeln.“

Text: Gunjan Sinha

Weitere Informationen

Genome Instability and Somatic Mosaicism

Genominstabilität und somatischer Mosaisizmus 

Literatur
Marilena Letizia, Toka Omar, Patrick Weidner et al. (2026): ​„Characterization of intestinal immune responses in generalized human and murine lipodystrophy“. Journal of Clinical Investigation, DOI: 10.1172/JCI192322

Bild
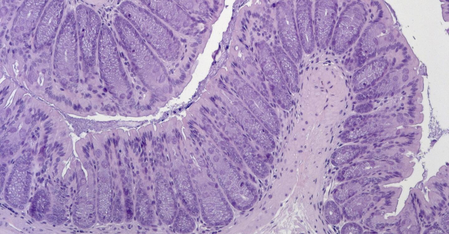
Das Bild zeigt Darmgewebe aus einem Mausmodell für die erworbene generalisierte Lipodystrophie. Das Gewebe blieb auch nach der Behandlung mit einer Chemikalie, die normalerweise eine Darmentzündung auslöst, intakt.

© Anja Kühl, Charité

Quelle: Max-Delbrück-Centrum für Molekulare Medizin in der Helmholtz-Gemeinschaft (Max Delbrück Center)

Alle News im Überblick

News Buch Berlin

Von gesunder Ernährung bis zur Funktionsweise der Sinne

Das Gläserne Labor bietet 2026 in Kooperation mit der Grundschule Am Sandhaus erneut die Forscher-AG FIN an. Ermöglicht wird dies durch das Deutsche Zentrum für Kinder- und Jugendgesundheit

weiter ...

Erste Proteinkarte von schmerzauslösenden Neuronen

Helmholtz-Forschende haben die erste detaillierte Proteinkarte von Schmerzneuronen erstellt. Ihre in „Nature Communications“ veröffentlichte Studie hilft, die molekularen Mechanismen chronisch-entzünd...

weiter ...

Eckert & Ziegler sichert Zugang zu entscheidender Augentumorbehandlung durch MDR-Zertifizierung für Ru-106 Augenapplikatoren

Eckert & Ziegler BEBIG GmbH, eine Tochter der Eckert & Ziegler SE mit Fokus auf Brachytherapie-Lösungen für die Behandlung von Augentumoren sowie Prostatakrebs, hat von den zuständigen Behörden die MD...

weiter ...

Termine Buch Berlin

16.04.2026, 09:00
Gläsernes Labor - Unsichtbare Welten: Mikroplastik in Mensch und Natur

Vorbeikommen und mitmachen: Spannende Experimentierkurse für Kids und Megamikroskopie im Zeiss-Großplanetarium

weitere Informationen

16.04.2026, 09:00 / BerlinBioCube
Career Day 2026: “Transition Possible: Explore Careers on Campus Buch”

Are you considering your next career step as a scientist? On April 16, the Career Day at Campus Buch invites to explore possible career paths beyond academia, hearing from professionals who have made ...

weitere Informationen

17.04.2026, 09:00
GOOD CLINICAL PRACTICE (GCP) - Online

Basic Training (English): The seminar will include presentations with many practical examples as well as workshops on the most important topics of GCP. The trainer will focus on the responsibilities o...

weitere Informationen

Sponsoren der Website: